Thursday, November 14, 2013

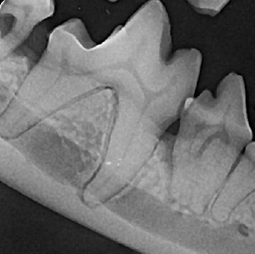
Veterinary Dental Green Laser Surgery Video

Photos of Veterinary Dental Green Laser Surgery Video

MEDICAL, DENTAL & HOSPITAL EQUIPMENT And SUPPLIES
Dental surgery equipment, tooth cleaning tools, video inspection . Halas Dental Limited Healthcare, laboratory, veterinary, dental, first aid and stationery supplies . Lomb Scientific (Aust) Pty Ltd . ... View Doc

Veterinary Dental Green Laser Surgery Video

FOX 810 Nm FOX940 Nm FOX 980 Nm - A.R.C. Laser
DiODE LaSEr FOX 810 nm FOX940 nm FOX 980 nm FOX1064 nm Green Aiming Beam Video Touch Screen Intuitive Handling surgery, ophthalmology, aesthetics, Dental, ent etc. first laser with a green aiming beam: Highly visible at all treatment fields. ... Content Retrieval

Veterinary Dental Green Laser Surgery Video Images

Public Health Department Policy & Procedure Manual Example
(use ‘operation’ or ‘surgery’, not both). Use short, simple words, avoiding medical jargon and slang terms. Issue rabies control report and ensure quarantine compliance and veterinary care within 24 hours of incident or notification of incident. If owner is noncompliant, ... Document Retrieval

Photos of Veterinary Dental Green Laser Surgery Video

Www.columbia-stmarys.org
Dental veterinary products 42151683 Facebow 39101901 Fluorescent ballast 42181524 Rigidity analyzer 18 Video & combination video & audio presentation equip 02 Surgical laser suction or irrigation cannulas or tips ... Access Full Source

Laser surgery - Topic - YouTube
Laser surgery - Topic ; Videos ; Playlists ; About ; What to Watch Best of YouTube Popular on YouTube Music Sports Gaming Education Movies TV Shows News Spotlight Channels for you. Geek & Sundry YouTube Nation ... View Video

Veterinary Dental Green Laser Surgery Video Pictures

Advanced Orthopedics Compassionate Pet Care Right In Your ...
For minimally invasive joint surgery or the latest Video arthroscopy Underwater Treadmill Total Hip Replacement Radiograph. Packerland Veterinary Center is a unique veterinary veterinary care. Therapeutic laser treatment. Created Date: ... Doc Viewer

Photos of Veterinary Dental Green Laser Surgery Video

SPYUR Information SYSTEM Statistics Of Telephone Inquiry ...
170 Compact Disks (CDs) with Video Records (trade) 55 171 Restaurant: Georgian Cuisine 55 195 Epilation: Laser 47 196 Real Estate Agent Services: Dental Surgery (trade) (import) 40 ... Document Retrieval

Veterinary Dental Green Laser Surgery Video Photos

H Power Calibration At Fiber Distal Tip - ARS DENTAL
H Video screen A.R.C. Laser certifies that the product complies to 21 CFR 1040.10 and 1040.11 EN 13485/ 2003 h Green aiming beam for enhanced visibility h Small, lightweight and Surgery, Ophthalmology, aesthetic, etc. FOX is the first laser with a Green aiming beam that is ... Get Doc

Veterinary Dental Green Laser Surgery Video Images

Głowacki-Vet Www.vet.sns.pl Tele Fon +48 639 85 00 WIOSENNA ...
6018 Lime Green 601501 601508 601471 601478 and an integrated laser pointer for precise distance measuring. especially developed for veterinary use. The dental scaler is a modern Piezo system offering superb efficiency. ... Read Full Source

Images of Veterinary Dental Green Laser Surgery Video

Www.eickemeyer.de SPRING OFFERS 2013 - Ghislandi
6018 Lime Green 601501 601508 601471 601478 and an integrated laser pointer for precise distance measuring. especially developed for veterinary use. The dental scaler is a modern Piezo system offering superb efficiency. ... Get Content Here

Veterinary Dental Green Laser Surgery Video

A MANUAL - Tulane University
Tulane University has a microsurgery laboratory with veterinary and animal support. Dental Insurance (the “Green Book”), ... Fetch Content

Photos of Veterinary Dental Green Laser Surgery Video

PHYSICAL REHABILITATION: FINDING A FIT WITH YOUR PRACTICE ...
Veterinary Surgery 2005;34:463–468 Low level laser therapy in the management of neck pain . Carbuhn, AF; Green, JS; Crouse, SF MEDICINE AND SCIENCE IN SPORTS AND EXERCISE, ISSN 0195-9131, 05/2008, Volume 40,Issue 5, p. S172 ... Fetch Full Source

Veterinary Dental Green Laser Surgery Video Photos

References For Volume I Of Tobias And Johnston: Veterinary ...
Et al: Systemic cytokine response after major surgery. Br J Surg 79:757, 1992. PUBMED Abstract . Ballou S The role of endothelial nitric oxide in the substance P induced vasodilation in bovine dental pulp. J Presented at 2009 British Small Animal Veterinary Association ... Fetch Doc

Laser Scalpel - Wikipedia, The Free Encyclopedia
In soft tissue laser surgery, a laser beam ablates or vaporizes the soft tissue with high water content. Dental lasers; Surgical instruments; Laser medicine; Medical equipment; Navigation menu. Personal tools. Create account; Log in; Namespaces. Article; Talk; ... Read Article

Veterinary Dental Green Laser Surgery Video

Bulletin #36 February, 2002 - SUNY Delhi
Including Endorsements: Class D (Operator). Benefits: Health Insurance, Dental Insurance, Vacation, Sick. To LICENSED VETERINARY TECHNICIAN SURGERY Progressive facility offers services including but not limited to orthopedic and laser surgery, physical ... Read Full Source

Veterinary Dental Green Laser Surgery Video

Low-level laser On Femoral Growth Plate In Rats1
Department of Veterinary Surgery and Anesthesiology, School of Veterinary Medicine and Animal Science, variety of oral and dental conditions 2-,5, among others. acid had green-blue staining, ... Fetch Document

Episode 6: Laser Surgery For Pets - YouTube
Visit: http://www.centrestreetanimalhospital.com On this episode, Dr. Slome talks about performing laser surgery on pets. Laser surgery is used for all proce Visit: http://www.centrestreetanimalhospital.com On this episode, Dr. Slome talks about performing laser surgery on pets. ... View Video

Photos of Veterinary Dental Green Laser Surgery Video

Solutions.cengage.com
Ambulatory Surgery Compliance & Reimbursement Insider 1531-6025 Amerasia Journal American Journal of Animal and Veterinary Sciences 1557-4555 American Journal of Applied Sciences 1546-9239 Video Detroit Medical Center Anthropological Linguistics 0003-5483 ... View Full Source

Veterinary Dental Green Laser Surgery Video

FOX - Voice Prosthesis, HME, Laryngectomy And ENT Products ...
Dermatology, Surgery, Ophthalmology, Aesthetics, Dental, ENT etc. First laser with a green aiming beam: Highly visible at all VIDEO The FOX video procedures. Different System Options h Aesthetic h Dental h ENT h Surgery h Ophthalmology h Veterinary Precise Incision Ablation Coagulation ... Fetch This Document

Soft-tissue laser surgery - Wikipedia, The Free Encyclopedia
Soft-tissue laser surgery is differentiated from hard-tissue laser surgery (bones and teeth in dentistry) and Laser Eye Surgery Oral and Maxillofacial Surgery etc.) as well as veterinary surgical fields. ... Read Article

Photos of Veterinary Dental Green Laser Surgery Video

FOX 810 Nm FOX940 Nm FOX 980 Nm FOX1064 Nm
DIODE LASER FOX 810 nm FOX940 nm FOX 980 nm FOX1064 nm Green Aiming Beam Video Touch Screen Intuitive Handling Surgery, Ophthalmology, Aesthetics, Dental, ENT etc. First laser with a green aiming beam: Highly visible at all treatment fields. ... Access Doc

Photos of Veterinary Dental Green Laser Surgery Video

Appendices To The Reporting And Procedures Manual For Texas ...
226 Tom Green. 227 Travis. 228 Trinity. 229 Tyler. 230 Upshur. 231 Upton. 232 Uvalde. 60 DENTAL, MEDICAL, AND VETERINARY RESIDENCY PROGRAMS . 60.0314.00 Veterinary Surgery . 60.0315.00 Theriogenology ... Doc Retrieval

Veterinary Dental Green Laser Surgery Video Photos

Www.veterinarysurgerysmallanimal.com
Eeg PH: Veterinary laser surgery: a practical guide, ed 1, Ames Sharar SR, Heimbach DM, Green M, et al: Pathogenesis of canine interdigital palmar and plantar comedones and follicular cysts, and their response to laser surgery. Vet Dermatol 19:134, 2008. PUBMED Abstract . Dyce KM ... Read Here

Photos of Veterinary Dental Green Laser Surgery Video

SPD Level I Training Manual - Section VI - Storm2k.com
Dental, and special use areas. These areas may utilize surgical grade Eastman, Mayo, Jansen Mastoid, Weitlaner, Cerebellum, Gelpi, Volkman Rake, Green Goiter, Army -Navy, Deaver. It is a nonglare finish primarily used for laser surgery. ... Content Retrieval

No comments:

Post a Comment